Feeds:
Posts
Comments

Archive for the ‘When Anatomy Goes Bad’ Category

Hey, a short post here to say go check this new blog out! I love it. The first main post-introductory post is a dissection of a snow leopard, documenting a real vet case attempting to figure out why it died. The “Veterinary Forensics blog” is going cool places, and it is a kindred spirit to this blog. You might, as I do sometimes when walking into a veterinary pathology/postmortem facility, see surprising and rare stuff– like in this photo of urban foxes:

troop of foxes

 

Read Full Post »

Today, to help thaw you poor Americans out of that Arctic Vortex, we have a guest post bringing the heat, by my PhD student Sophie Regnault! This relates to some old posts about rhinos, which are a mainstay here at the WIJF blog- I’ve posted a lot about the rhino extinction crisisfeet, skin, big and bigger bones, and more, but this is our first rhinoceros-focused, actual published scientific paper! Take it away, Sophie! (We’re planning a few more “guest” blog posts from my team, so enjoy it, folks!)

Almost a year ago to the day, I submitted my first paper written with John Hutchinson and Renate Weller at the RVC and it has (finally!) just been published. To celebrate, I have been allowed to temporarily hijack ‘What’s in John’s Freezer?’ for my first foray into the world of blogging. I started the paper back as an undergraduate veterinary student. It was my first experience of proper research, and so enjoyable that I’m now doing a PhD, studying sesamoid bones like the patella!

We wanted to discover more about the types of bony disease rhinos get in their feet, of which there isn’t much known. Rhinos, of course, are big, potentially dangerous animals – difficult enough to examine and doubly difficult to x-ray clearly because of their thick skin. Unlike diseases which are fairly easy to spot (like abscesses or splitting of the nails and footpad), there is hardly anything out there in the scientific literature on bony diseases in rhino feet. It’s no small issue, either. When your feet each need to support over 900kg (typical for a large white rhino), even a relatively minor problem can be a major pain. Progressing unseen under their tough hide, lesions in the bone can eventually become so serious than the only solution is euthanasia, but even mild conditions can have negative consequences. For example, foot problems in other animals are known to have knock-on effects on fertility, which would be a big deal for programs trying to breed these species in captivity.

Hidden treasures abound!

Hidden treasures abound! (Photos can be clicked to embiggen)

Data gathering was a blast. I got to travel to Cambridge, Oxford, and London during one of England’s better summers, and these beautiful old museums were letting me snoop around their skeleton collections. I’d been there often as a visitor, but it was anatomy-nerd-heaven to go behind the scenes at the Natural History Museum, and to be left alone with drawers and drawers of fantastic old bones. Some of the specimens hadn’t been touched for decades – at Cambridge University Museum of Zoology, we opened an old biscuit tin filled with the smallest rhinoceros foot bones, only to realise they were wrapped in perfectly preserved 1940’s wartime Britain newspaper.

rhino-feet (2)

rhino-feet (4)

rhino-feet (3)

Osteomyelitis… (3 clickable pics above) the toe’s probably not meant to come off like that!

In addition to my museum studies, I had another fun opportunity to do hands-on research.  John (of course!) had freezers full of rhino legs (looking disconcertingly like doner kebabs, but maybe that’s just me!), which we CT scanned to see the bones. Although it is a pretty standard imaging technique, at this point I had only just started my clinical studies at the vet hospital, and being able to flick through CT scans felt super badass. Most vet students just get to see some horse feet or dog/cat scans, at best.

Another osteomyelitis fracture, visible in a CT scan.

Another osteomyelitis fracture, visible in a CT scan reconstruction.

We expected to find diseases like osteoarthritis (a degenerative joint disease) and osteomyelitis (bone infection and inflammation). Both had previously been reported in rhinoceroses, although it was interesting that we saw three cases of osteomyelitis in only 27 rhinos, perhaps making it a fairly common complication. It’s an ugly-looking disease, and in two of the cases led to the fat, fluffy bones fracturing apart.

We also had several unexpected findings, like flakes of fractured bone, mild dislocations, tons of enthesiophytes (bone depositions at tendon/ligament attachments) and lots of holes in the bones (usually small, occasionally massive). For me, writing up some of these findings was cool and freaky paranoid in equal measures. They hadn’t been much described before, and we were unsure of their significance. Was it normal, or pathological? Were we interpreting it correctly? Discussions with John and Renate (often involving cake) were reassuring, as was the realisation that in science (unlike vet school at the time, where every question seemed to have a concrete answer) you can never be 100% sure of things. Our study has a few important limitations, but has addressed a gap in the field and found some neat new things. Six months into my PhD, I’m enjoying research more than ever, and hoping that this paper will be the first of many (though I promise I won’t keep nicking John’s blog for my own shameless self-promotion if that happens!  EDIT BY JOHN: Please do!).

Nasty osteoarthritis wearing away the bone at the joint surface. Most cases occurred in the most distal joint.

Nasty osteoarthritis wearing away the bone at the joint surface. Most cases occurred in the most distal joint.

Deep holes in some of the bones: infection, injury?

Deep holes in some of the bones: infection, injury?

The paper:
Sophie Regnault, Robert Hermes, Thomas Hildebrandt, John Hutchinson, and Renate Weller (2013) OSTEOPATHOLOGY IN THE FEET OF RHINOCEROSES: LESION TYPE AND DISTRIBUTION. Journal of Zoo and Wildlife Medicine: December 2013, Vol. 44, No. 4, pp. 918-927.

Read Full Post »

Greetings, freezerinos! WIJF has been on hiatus this summer because my life has been freaking insane! ICVM conference with 3 talks (See earlier post), then grant deadlines, camping trip, packing and moving house, hiring new staff and inducting them into my team, breathing, and other activities (ranging from essential to trivial and/or infuriating) in addition to Actually Doing Some Science have been to blame. But WIJF is coming back like a bad rash! It cannot be defeated by bureaucracy, by my current lack of home internet connection, or even by the end of the universe! I have grand plans, muhahaha… This is just a teaser to give me some blog-writing momentum so I can finish some of those bigger posts sooner or later.

Stomach-Churning Rating: 3/10 — unless you are the goldfish in question, whose stomach has already been duly churned.

So I mentioned house-moving above, and we’ve finished that over the previous week. I had two ponds at my old home, full of >200 fish and (during breeding season; tweeted under #FrogCount) >200 frogs and toads, among other critters, documented on occasion in my Flickr photostream/set. Our new abode just has one pond, but a decent one at that, and we inherited some new fish that I am getting to know. Here is a peculiar goldfish, whose unusual anatomy inspired me to catch it, take a photo, and blog about it. Consider this:

The fish in question.

The fish in question. Not your standard sleek, hydrodynamic specimen of Carassius auratus auratus!

I’ve done some Googling and confirmed my suspicions that this is not a pregnant goldfish but is some other condition that we could loosely term as pathological. It has been feeding reasonably well and seems not too perturbed– as much as a fish’s degree of perturbation can be read from its behaviour– by its rotund morphology. It has some problems controlling its inertia in rolling and pitching, which makes for some amusing viewing as well as easy capture.

But what’s up with this fish? It does not have dropsy, a nasty condition fish get that leaves the scales in a “pinecone” sort of extruded orientation. It may have a gut infection or other air sac problem. I’m certainly not a vet and don’t know and fishy vets. But I wanted to share the photo to stimulate discussion of fishy fish physiognomy. What’s your diagnosis, doctor internet?

Also, if this fish takes a turn for the worse, it very well may end up in my freezer and thence into an internal anatomy WIJF post (“What’s In John’s Goldfish?”). We shall see. But I’ve grown fond of this unnamed fish (soliciting suggestions for names below in the Comments), so I’ll see how long I can keep it out of that situation.

Read Full Post »

Less words, more pictures in this post, and I’ll get the one lame cake joke out of the way early. I’ve nearly finished my research blitz through the postcranial material of the NHM-Tring’s osteological collection and have made some pit-stops for cake skulls now and then when I see one that pleases me. Now I shall present a survey of some of the species I’ve examined. I’ll proceed up from the base of the crown clade of living birds (Neornithes/Aves; the most recent common ancestor of living birds and all its descendants) and first take a tour of Palaeognathae; the ratites and kin; then move another step up into the Neognathae, first featuring the lineage featuring the ground fowl (Galliformes) and then the waterfowl (Anseriformes). If all this taxonomy and phylogeny is a bit much, check out this page for a brush-up on the bushy branches of bird biodiversity.

First, lots of bones of our cast of currasows, chachalacas, cassowaries and other kooky characters. And then, perhaps, a stop to the excessive alliteration. Finally, I will finish with some examples of species oddity (hat tip to Chris Hadfield).

Stomach-Churning Rating: 2/10- some bony pathologies but still just dry bones. Minimal cake jokes, and no filthy swearing this time.


BRING ON THE BONES:

My photographs are shown with kind permission from the Natural History Museum, London.

Exploded skull of an ostrich/ This takes skill.

Exploded skull of an ostrich, Struthio camelus. This kind of careful preparation takes crazy skill, and creates a thing of rare beauty.

Neat skull of a cassowary, Casuarius casuarius.

Imposing skull of a cassowary, Casuarius casuarius, with a rather worn head casque.

Mummified Owen's Little Spotted kiwi, Apteryx owenii.

Mummified Owen’s Little Spotted Kiwi, Apteryx owenii. The feathers were still soft and fluffy, but I would not call this specimen cuddly.

Dorsal view of the back/hips of the Great Spotted kiwi, Apteryx haasti.

Dorsal view of the back/hips of the Great Spotted Kiwi, Apteryx haasti. I like this photo and am not sure why. The symmetry and shading pleases me, I guess.

Front view of the back/hips of the Great Spotted kiwi, Apteryx haasti.

Front view of the back/hips of the Great Spotted Kiwi, Apteryx haasti, watching over my laptop and watching me while I write this blog on my laptop… so meta(ornithine)!

Wing of a kiwi, showing the fragile bones and feather attachments.

Wing of a kiwi, showing the fragile bones and feather attachments. “Apteryx” = “no wings”… well not quite. Click to emkiwi(?) so you can identify the individual bones, from the humerus right down to the fingers! I love this specimen.

The left leg (in front view) of the elephant-bird, Aepyornis maximus, from Madagascar, with a small moa nearby in left side view.

The titanic left leg (in front view) of the Elephant Bird, Aepyornis maximus, from Madagascar, with a small moa nearby in left side view. There’s so much awesomeness about elephant birds I don’t know where to start, but this is one good place to do so.

Mummified Unulated tinamou, Crypturellus undulatus.

The smaller end of the palaeognath scale: a mummified Undulated Tinamou, Crypturellus undulatus. Somehow the head got stuck into the abdominal cavity underneath the sternum, so this tinamou almost had its head up its arse. A tinamou with head in its proper position looks and sounds like this (video).

And now we take a left turn into the Galloanseres, most basal branch of the neognath birds, to see some of the neglected, strange early branches off from the “main line” that led to the modern diversity of ducks, geeses and swans (Anatinae, Anserinae).

Screamers (Anhimidae) are to Anseriformes as megapodes (see below; brush turkeys) are to Galliformes. By that I mean that both screamers and megapodes are very early branches off the main line of their respective lineages’ evolution, and both are quite strange when seen in that context… an unfair one, frankly; over-focused on the most familiar, “modern” or most speciose group. More about this issue further below.

This was my first hands-on experience with screamer anatomy; I was familiar from reading Tetrapod Zoology and other material about them. Check out the sound that gives them their name here! I’m now a big fan- they have so many strange features: oddly chunky but often very light bones, big feet with long toes, and then these switchblade-wrists, which would make Batman jealous:

Crested screamer, Chauna torquata, showing the wicked spur on the carpometacarpus.

Crested Screamer, Chauna torquata, showing the wicked spur (and smaller one) on the carpometacarpus.

Horned screamer, Anhima cornuta; similar carpometacarpal spur as in Chauna.

Horned Screamer, Anhima cornuta; similar carpometacarpal spurs as in Chauna.

Torso of a screamer seen in top view. Nice narrow body.

Torso of a screamer seen in top view. Nice narrow body, and no uncinate processes (spur-like bony struts that cross the ribs and act as levers for the muscles that move the ribcage during breathing)

The long, gracile, clawed toes of a screamer.

The long, gracile, clawed toes of a screamer. Those toes, especially as they belong to an animal called a screamer, are spooky for me. Note also: very little toe-webbing for a “waterfowl.”

Not to be outdone, on the Galliformes side of Galloanserae, we have some funky headgear in the Maleo (a megapode bird/Megapodiidae; a very basal branch of “brush turkeys” and kin) and curassows (part of the Cracidae; odd South American birds whose males make booming sounds, presumably using their head-casques as resonating chambers?):

Skull of a male maleo, Macrocephalon maleo.

Skull of a male Maleo, Macrocephalon maleo. AR Wallace famously pursued it, and here is its funky call.

Australian brush-turkeys, Alectura lathami i, at the Alma Park Zoo near Brisbane, Australia; they run wild there. Here they are doing what they are best known for: making a mound-like nest.

Australian brush-turkeys, Alectura lathami, at the Alma Park Zoo near Brisbane, Australia; they run wild there. Here they are doing what they are best known for: making a mound-like nest. We were doing kangaroo biomechanics experiments and they were everywhere. I was in awe to see such exotic (to me) birds; locals seemed not so enthused (the birds are loud and make a lot of mess).

Skull of Helmeted curassow, Crax/Pauxi pauxi.

Skull of Helmeted Curassow, Crax/Pauxi pauxi,  showing that resonating chamber. Along with this boom-boom-room, the male uses a piece of food that he holds to draw in the female; if she takes it, then it’s sexy time.

Foot of a Russian Black Grouse, Tetrao tetrix (nothing to do with a certain videogame), with and without flesh.

Foot of a Siberian Black Grouse, Tetrao tetrix (nothing to do with a certain videogame), with and without flesh. Regard the broad, feathered feet, well insulated and with plenty of surface area for prancing around in the snow or moorlands. Tetrao engage in a cool display pattern called lekking, in which the males group together and show off to watching females.

A theme in the section above that is not to be missed is that there is some amazing disparity of anatomical forms in these basal lineages of poultry-relatives. Don’t dismiss the Galloanserae as just boring food-birds! Heaps of not-so-well-studied species exist here, surely with a treasure trove of cool neontological and evolutionary questions waiting for the right person to ask! Darwin’s chickens may get their share of neglect, but that pales in comparison to how little we understand about many basal Galloanserae.

What a lot of people think of as a “ground fowl” or galliform way of life is more of a way of life somewhat typical of the Phasanidae- chickens, pheasants and their familiar kin. Megapodes, curassows, guans, grouse and other Galliformes do not necessarily do things in the “typical” ground fowl way, much as the earlier branches of the Anseriformes don’t always look/act like “proper water fowl” (i.e. Anatidae). The phenomenon at play here is one of the great bugaboos in biology: essentialism— the often implicit misconception that variation away from some abstract ideal is negligible, uninteresting or just not conceivable due to mental blinders. When we say something like “the chicken is a fascinating species” we are sliding down the essentialistic slope. There is no “the chicken.” Not really. Oh dear, speaking of slippery slopes, I’d best stop here before I start talking about species concepts. And no one wants that to happen! Anyway, essentialism still pervades a lot of modern scientific thinking, and has its place as a conceptual crutch sometimes. But in biology, essentialism can be very insidious and misleading. It burrows in deep into the scientific mind and can be hard to root out. Unfortunately, it is entrenched in a lot of science education, as it makes things easier to teach if you sweep aside the exceptions to the essentialist “rules” in biology. I catch myself thinking in static, essentialist ways sometimes. The punishment is no cake for a week; so awful. 🙂

And speaking of “normal” or “typical,” morphology is of course often not that way even within a species, age class or gender. Pathology is a great example; by definition it is abnormal. It is a shattering of the “essence” of animals, brought on by some malady.

Next I’ve highlighted some of the amazing pathologies I’ve seen in the Tring skeletons. There have been so many I’ve been unable to keep track of them– some of these birds had the stuffing beaten out of them, and I’m not talking about Thanksgiving turkeys. Some were captive animals, in which the pathology might be blamed on living an inappropriate environment, but some were wild-caught — given the extreme pathologies, it’s a wonder those even survived to be found, but perhaps less a surprise that they were caught.


BONES GONE BONKERS:

View of left knee of a specimen of the Highland guan, Penelopina nigra, showing some nasty osteoarthritis around the whole joint.

View of left knee of a specimen of the Highland Guan, Penelopina nigra, showing some nasty osteoarthritis around the whole joint. Eew.  A happier Guan sounds like this.

Femora and tibiae of the Blue-throated Piping Guan, Aburria cumanensis. Amazing pathology involving the left femur (broken, rehealed) and tibiotarsus (secondary infection?).

Femora and tibiotarsi of the Blue-throated Piping Guan, Aburria cumanensis. Amazing pathology involving the left femur (broken, rehealed) and tibiotarsus (secondary infection?). Interestingly, the non-fractured limb also showed some pathology, perhaps indicating general infection and/or arthritis in reaction to the severe damage to the other leg, or just increased load-bearing on that leg.

Little Chachalaca, Ortalis motmot, showing a broken and rehealed right femur and the tibiotarsus.

Little Chachalaca, Ortalis motmot, showing a broken and rehealed right femur and the tibiotarsus. As in the guan above, this animal was not walking for many weeks; its femur had snapped in two, but somehow melted back together. The tibiotarsus didn’t look too great, either; lumpy and bendy. In better times, the Chachalaca does the cha-cha like this.

These two specimens blew my mind. On the right is a normal Tetrao tetrix (Black grouse); on the left is one hybridized with another (unknown) species.

These two specimens blew my mind. On the left is a normal Tetrao tetrix (Black Grouse); on the right is one hybridized with another (unknown) species.

In the picture above, what amazed me first was the very unusual flattened pelvis/synsacrum of Tetrao, which characteristically is light and wide. But in the hybrid this morphology was completely gone; the pelvis had a more standard “galliform” (read: Phasianid)-like shape, deeper and narrower and more solid in build. I am guessing that the hybrid was a cross with a pheasant like Phasianus itself, whose anatomy would be more like this. Somewhere in here there is a fantastic evo-devo/morphometrics project waiting to happen.

That’s my quick specimen-based tour of “basal birds”. Beyond these two clades of Palaeognathae and Galloanseres, there lies the forebidding territory of Neoaves: much of living avian diversity, and extremely contentious in its phylogenetic relationships. I’m tackling them next for my research on the evolution of the patella/kneecap. But first, I’ll be at the NHM-Tring today for a whirlwind tour through the respectably speciose “normal” Galloanseres clades of Phasianidae and Anserinae+Anatidae, so off I go! (It’s my wife’s birthday celebration, so cake may have to wait for later this time)

So what do you think? What’s your favourite neglected “primitive” bird group (more apropos: early branching avian lineage that may still be very specialized, rare and poorly understood), or cool factoid about palaeognaths and basal neognaths?

No quaggas were harmed during the writing of this post.

No quaggas were harmed during the writing of this post. Polly wanna quagga?

Read Full Post »

I’m not sure if this is a new tradition at this blog or not (probably not), but hey let’s give it a name: an Anatomy Vignette. Just something curious I notice during my research that deserves more than just a tweet. I borrowed some bones from the University of Cambridge Museum of Zoology (whom I love, because they have great exhibits and are very research-friendly) to CT scan for some projects. I noticed this:

femur-path

And I thought “Ouch! That’s nasty, dude.” (the holes in the bone just above the knee joint– these should just be a roughened area where the adductor muscles and other leg muscles attach)

So I was interested to see the CT scan images to find out how these possibly osteomyelitic lesions continued into the bone. They’re really pervasive, continuing into the marrow cavity quite far up the femur, as this shows (good CT-viewing practice to match up what you are seeing in the photo above with this movie):

I would be surprised if this was not the reason this animal died (presumably being euthanased at a UK zoo). There would have been extensive infection and pain resulting from this bony disease. How did it originate? Who knows. Maybe the animal strained a muscle and bacteria got inside, or maybe there was a fall or other injury. Hard to tell.

Oh, and also note the lack of a true marrow cavity in hippos, which is true for all the long bones. The “cavity” is filled in with cancellous bone. Same with rhinos, elephants, and many other species… science doesn’t entirely know why but this feature surely does help support the body on land, and grants at least some extra negative buoyancy in water; at a cost of some extra weight to lug around, of course.

And so ends this Anatomy Vignette.

Read Full Post »

Good day, everyone. Maybe by the end of this post if you don’t agree that it is a good day, you will at least see why I think it is.

Ten years ago today, something Really Bad happened to my brain. I don’t need to go into details, but it is very fair to say that I almost died. And that was the second close call in my adult life; there was another, years earlier, with a different vital organ system. So I celebrate December 16th each year as “Not Dead Yet Day“. As this is this blog’s first NDYD, I figure you can all join in the celebration, for any reason you might have to celebrate life. It can be hard to love some aspects of life sometimes, especially in pretty depressing times like the 21st century can be (so far). This can especially feel true in light of recent events in Connecticut, or ongoing nightmares in Syria and many other lands, with vanishing innocents, vanishing wildlife and vanishing habitats, the inexorable heat death of the universe… shit I’d better stop now or I’ll lose it!

This day helps to remind me to stay focused, as much as I can, on what matters in my life, and what I can control in my life to make things better for the little bubble of the world that I exist in. Some things are far beyond even our hope, let alone our means, to control. And sometimes we get broadsided by Really Bad Shit. But in between any of that powerlessness or inauspicious shit, there can be joy from many sources– for me (like many others), it comes from family and friends, science and the natural world’s wonders, delicious food and amazing travel, and much more. It comes from experiencing reality with all its facets.

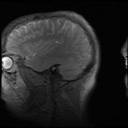
Here is my brain. You can’t see much. Feel free to make jokes about that, I’ve set myself up nicely with that last sentence!

my-brain1

These are MRI scan images from a routine checkup I had about 3 years ago. I suppose you can consider it a game of “Mystery MRI slices”, but one in which I give you the answer (my brain). You can see lots of cool anatomy here; if you know your anatomy feel free to mention what’s visible (or not) in the Comments, and make jokes– I will probably enjoy any of them. I like self-deprecatory humour. And happily, I checked out fine in that scan, and continue to be fine… relatively. I’m not the same person I was >10 years ago— in 2002 I got married (but missed my bachelor party because I was hospitalized for another problem), got an important paper (“Tyrannosaurus was not a fast runner”) published in Nature that changed my career (and arguably got me my job today), had this Really Bad thing happen, and plenty more. It was an eventful year.

my-brain2

At the time the Really Bad thing happened, I was feeling poorly but working very hard on final revisions/re-analysis of elephant gait data for a paper that ended up being published in Nature in 2003; so things ended up looking even better for my career. But I made a decision that day that, in a fortunate way, ended up having a greater impact than any mere publication. Rather than sit in my house with our cats and feel poorly, I made the choice to drive in to work and process more elephant video data. Just as I was parking my car on the Berkeley campus (illegally; I was feeling very poorly by that point) to go in to do the work… I woke up in an ambulance.

I was lucky. I was somewhere public where I was spotted having trouble, not alone in my house for >8 hours until my newlywed-wife came home to discover me. So I got help, and medical science saved my ass — and my brain, and thus other regions of my anatomy and my mortal existence. If I’d adopted the other choice, and stayed home alone, our cats probably would have witnessed something terrible and been unable to help, awesome as kitties can be.

I’ve never felt the same after that day. I’m certainly a case of “scarred but smarter.” I can say smarter mainly because my brain survived the trauma OK and I learned from the experience. I can say scarred because I still feel repercussions of all sorts from that Really Bad day. Although I’ve always had a dark sense of humour, strongly connected with my eccentric passions in science (e.g. this blog! Go figure.), I think it’s fair to say that my humour darkened. I’m not as bubbling with joy as I used to be. I used to almost always grin and exclaim “Excellent!” when someone asked me “how’s it going?”. I can still burble with frabjous joy, but not quite as often.

That day brought me closer in touch with the darker side of life, and the brighter side too. I think I’d been overlooking both. Closer in touch with reality, and with the serendipity and calamity that accompany it. There have been other, terrible events in my life since then, too, that have brought new existentialist focus to my mind, but that’s a part of most people’s middle age period (e.g. losing many loved ones).  I’ve had a great career so far, too, thanks in part to good things that happened 10 years ago, and to good things that have happened since thanks to hard work and some good fortune. But that doesn’t mean life has been a nonstop joyride, or even easy.

So today I take some special time to think about what life is about, what is real and must be faced wide awake vs. what is self-deceitful slumber, and why life is still worth loving– which I do love, with all my brain. And every day I think about the big changes that 2002 wrought on my life, and how so many other seemingly important things that happen in my life don’t matter one fucking bit– hence I try to just have fun, be a good human and not worry so much.

Have the best day you can have, everyone. I’m off to have some fun family time, but wanted to share my brain’s thoughts with you today. Maybe you have a similar story to share, too, or maybe my brain’s thoughts inspire some in your own brain. It’s wonderful how that glistening anatomy can do such things, and it’s wonderful how resilient that anatomy is, much as we need to be… because we are one and the same, our brains and our selves that dwell inside them, and the love of life that they can conjure.

If this post bummed you out, just focus on these contented cats.

If this post bummed you out, just focus on these contented cats.

Read Full Post »

(The following post has a Stomach-Churning Rating of 3/10; the dried fish may not get you, but the bad jokes could. A respite before I slap some freezer-spawned Grand Guignolishness on you in future posts.)

Continuing this crazy summer’s theme of anatomy exhibits in museums, here’s a different twist: using cadavers, or mockups of animal bodies, to create chimeras — fusions of the bodies of multiple species to create new, fanciful organisms. This post was inspired, and will be illustrated, by my visit to Salzburg, Austria’s Haus der Natur, which is well worth a visit for its eclectic cornucopia of exhibits. I’ve also read that the Field Museum’s Mythic Creatures is worth a peek. The post is particularly timely as true chimeras are more and more a thing of scientific reality these days (unsettling testimonial here), although lion-(dragon/snake)-goat hybrids are not coming anytime soon–we can all hope. Enjoy the links! I’ve added a lot of external links to more content if you want to further explore this post’s subjects.

Anyway, my favourite Salzburg escape (from Mozart overdoses that are an all too real- and lethal- threat) was the “Fabel und Mythos” exhibit in the “Mensch und Natur” section of Haus der Natur, which is about just what it sounds like: how natural history and mythology/fantasy intersect. That theme is a passion of mine, as a sci fi/B-movie monster/horror/fantasy film and book fan and as a scientist. It is a big part of why I became a scientist (especially evolutionary biologist/anatomist/palaeontologist) — the junctures of art and science, imagination and reason, fantasy and reality, fascinate me, and if teamed up with the grotesque, monstrous, whimsical and nightmarish, I’m helpless to resist, much as I suspect many of this blog’s readers are. So sit back and enjoy.

Chimeras (in the broader sense of mixed-up animals) have a long history of cultural significance, from Greek myth (and an atrocious recent film featuring The Worthington) even to the godfather of taxonomy, Carl von Linne, and his Animalia Paradoxa. The chimeras (and basilisks, cockatrices, etc.) have featured prominently in the art of the past as well as of the present. People today remain fascinated by the role chimeras and other anatomical tomfooleries have played in hucksterism and hoaxes, as evidenced by many online exhibits such as the Museum of Hoaxes, 15 Craziest Biological Hoaxes, April Fool’s hoaxes, kickass artworklamest hoaxesposts by The Bloggess, sightings of real (i.e. freakish) unicorns in real life, and taxidermy-gone-berserk sites like here and here and here and this cautionary tale; this also overlaps with cryptozoology and WTF-is-that internet fetishes. And let’s not forget the man-bear-pig. No, we shan’t forget that… Nor shall palaeontologists soon forget some famous chimeras in our field, particularly the infamous Piltdown man and Archaeoraptor. These hoaxes incidentally, ended up being not just a temporary embarrassment for science, but also an exemplar of how science is a self-correcting process, so frauds inevitably get unmasked– and in some cases (e.g. Archaeoraptor consisting of two very important legitimate fossils!), science makes new discoveries and advances in that process of corrective peer review.

First up in this blog post: the Bavarian Wolpertingers (leaking into native Austrian culture as the Raurackl; AKA Rasselbock, Dilldapp, Skvader and other names; and leaking into video games too)! The wolpertinger is a small and not-so-scary chimera, but often with fairy powers, and is very much akin to that folkloristic mainstay of Americana, the jackrabbit-pronghorn lovechild called the Jackalope. In contrast, however, the jackalope mainly has powers of being a lame souvenir, although fable has it they are prone to ventriloquism, pugnaciousness and whiskey– a fearsome combination (don’t try this at home). This panel from the museum illustrates the diversity and anatomical disparity of Wolpertingers:

And the museum did a great job making some physical chimeras using the wonders of taxidermy… aww, do you want one of your own now?

With closeups below–e.g. the jackalope from hell:

A flight of fancy?

Some quizzical quackery:

Echt toll, meine Freunde! A bit more about wolpertingers and their kin is here. Pokemonologists, take notes. People laughing at the alternative name for wolpertingers, “poontingers,” behave…

One can hardly discuss chimeras and fake animals/taxidermy hoaxes without getting into mermaids (no, I won’t discuss THAT recent TV debacle) and then into Jenny Hanivers; “devil fish”, seabishops or sea fairies. The hanivers go back to at least the 16th century, even being used by sailors to prove they’d had an exotic adventure after their voyages, or sold to supplement their meager salaries. There is plenty written on this phenomenon and how numerous people were skate punk’d (AHEM) by a simple dried fish. But then, skates (not to be confused with an altogether different, but related, kind of chimera) do look odd, and many people don’t know their anatomy or are just credulous, prone to self-deception and confirmation bias.

Stuart Pond was so kind as to send pics of a J.H. that he has in his shed (spinoff potential: What’s in Stu’s Shed???) for me to share— thanks again man! Note the apparent “legs” (probably organs used in mating’; claspers; but sometimes just snipped bits of the tail, which is also evident here):

Obviously the typical Jenny Haniver is a skate that has been messed with a bit to emphasize the humanoid features, but then there’s a sucker born every minute, and PT Barnum famously took advantage of that rhythmic nativity in the 1842 hoax he called the Fiji (Feejee) mermaid, which was a monkey’s head/torso with fish body and papier maché coating. Below, a wolpertinger-like “horn” is visible; this is the remnants of a nasal process of the chondrocranium of the ray; the flanges to either side of it are parts of the front of the head that have been cut apart to make the haniver’s head look more humanoid:

With a “face” only a mermother- or chondrichthyologist- could love– note that the “eyes” are actually nasal openings:

And thanks to Sven Sachs for some extra photos of a Jenny Haniver at the Zoological Museum Liege in Belgium– thanks Sven!:

 

But, in the world of academic science, there is perhaps no greater you-fools-I-invented-a-fanciful-critter hoax/joke than the Rhinogradentia (snouters, or rhinogrades), rumoured in 1905 but first described in Gerolf Steiner/Harald Stümpke’s (latter= pseudonym; AKA Karl D.S. Geeste, Hararuto Shutyunpuke) wonderfully over-the-top, tongue-in-cheekish 1957 faux-scientific monographic book Bau und Leben der Rhinogradentia. Darren Naish‘s blog Tetrapod Zoology (along with others, in 4 parts) has done far better justice to the snouters than I could ever hope to, and others have contributed to the legend. But at least I can share some pics of the first reconstructed (or were they, hmm…?) rhinogrades I’ve ever seen in physical form (again from the Haus der Natur):

Here are the closeups; first Orchidiopsis rapax:

And next Otopteryx volitans:

Last but not beast, an infamous nasobeme, Nasobema lyricum!

Whether this post was hit or myth, please contribute more thoughts, stories and pictures in the Comments below. What’s your favourite hoax story, conglomerated creature, misidentified monstrous mushwee little false beastie or taxidermy horror/beauty? Why do you enjoy fanciful creations like these?

And watch out- those chimeras can pack a whallop!

Read Full Post »

Here is a little vignette for you; a taster of the BBSRC-funded chicken biomechanics project my team has underway in collaboration with Jonathan Codd’s team at Uni Manchester. I did not know about the following situation until a couple of years ago during my former PhD student (now postdoc) Heather Paxton‘s research on chicken mechanics.

Regard this chicken, slit open along the midline to show the viscera. The huge pectoralis muscles (breast meat) have been pushed aside; the right side’s are clumsily outlined (I blame caffeine?) in blue.

Then consider the heart, within the jagged, shamefully and ineptly drawn green circle. I’ll come back to that.

So this broiler chicken took 6 weeks to reach this size, of about 3 kilograms (6.6 lbs). Fifty years ago, before artificial selection was imposed on a MASSIVE scale (many billions of chickens per year worldwide, bred in a complex pyramid scheme of crossed strains), that same chicken strain would have taken 15 weeks to reach a normal slaughter mass of roughly 2 kg (4.4 lbs). The major selection, of course, has been for edible meat, especially that lovely breast muscle’s white meat.

If we look at red junglefowl, to a large degree the “wild type” ancestors of domestic chickens that are native to southeast Asia, the leg muscles take up about 7.7% body mass per leg vs. about 6.3% in the broiler. Just a small decrease, but probably an important one, and something our research focuses a lot on (walking ability, lameness, activity levels etc). But that’s a subject for a future post. In stark contrast, the breast muscles (back to the blue ellipse above)  have gone from 7% to up to 11.6% body mass per wing; a huge change!

Now let’s return to another large muscle, the one within the green circle above; the heart. Not only must the heart, which has become relatively larger by perhaps 25%, pump blood to a body that has enlarged by >50%, but it also must perfuse the giant pectoral muscles, which have enlarged by >65%.

Herein lies the problem… You probably can predict what happens.

Several syndromes may develop, but the one I want to cover here is called deep pectoral myopathy (AKA “Oregon disease” or better yet “green muscle disease”, a very appropriate term as you’ll see below). Basically, the giant pectoralis muscles receive inadequate blood flow from the smallish heart, because the muscles are so big and under so much pressure, creating resistance to flow, and so the muscles begin dying from within. A picture tells the story:

While surely uncomfortable for the birds and hence a welfare problem, it is usually not found until the animals are slaughtered, and then of course the meat is destroyed rather than delivered for human consumption. Because of the welfare problems and loss of meat (i.e. financial loss), the poultry industry is trying to remedy this problem. W’e’re working on aspects of this as well, as part of our study of how the locomotor and ventilatory systems of chickens develop and have evolved.

I am blogging this as a great example of how anatomy can go haywire and become imbalanced when evolutionary selection pressures are intense and highly specific (e.g. almost single-minded human selection for large breast muscle). It is also a conundrum that human society faces: while chicken meat seems more efficient and more ecologically sound than some other meats, and there is growing demand for meat as the human population grows, how do we balance welfare concerns with food security, economics and other factors? And how do we judge when artificial selection has gone too far? I do not present an answer because the answer is not easy, and because my team is still learning about how to answer it.

Read Full Post »

I will go into more detail soon on the broader subject that this involves, but am posting this image as a teaser– what’s up with this foot from my freezer?

Other than the obvious dead-ness and non-attached-to-body-ness…

Read Full Post »

« Newer Posts