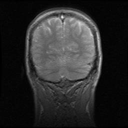
Frontal plane brain.
What’s in John’s Brain? » my-brain2
This site uses Akismet to reduce spam. Learn how your comment data is processed.

-
Join 3,471 other subscribers
Rummage Through the Blog Freezer
Census of the Freezer-Curious
- 673,809 frozen to date
@JohnRHutchinson
Tweets by johnrhutchinson-
Recent Posts
Buried in the Freezer (archive)
About John
Chillin' With Art
Cool as Ice
- An Anatomist's Guide
- Anatomy To You (our sister blog)
- Biological Marginalia
- Catalogue of Organisms
- Division of Comparative Biomechanics (SICB)
- Inside Nature's Giants (UK)
- Jake's Bones
- JellyBiologist
- Morbid Anatomy Blog
- Parasite of the Day
- Science Made Cool
- Tetrapod Zoology
- The Brain Scoop (on Tumblr; blog)
- The Brain Scoop (on Youtube)
Frigorific Research Labs
Stone Cold



Leave a comment